노원역교정치과 인비절라인을 통해 교합을 안정화시킨 치료 사례

 

안녕하세요

노원역교정치과
달라스치과입니다.

 

턱관절은 아래턱과 머리뼈를 연결해주는 관절로서

입을 여닫거나 좌우로 움직이는 등 저작, 말하기, 삼키기와 같은

기본적인 구강 운동을 가능하게 하는 역할을 담당합니다.

그러나 치아가 맞물리는 교합 관계가 안정되지 않으면

턱관절에 큰 부담을 줄 수 있습니다.

특히 송곳니는 좌우로 턱을 움직이는 측방운동 진행시 부하를 나눠주고

주도적으로 맞물려서 다른 치아들이 부딪히지 않도록

유도해 주는 중요한 역할을 합니다.

 

이렇게 송곳니가 교합관계에서 역할을 다하는 것을 “Canine guidance”라고 하는데

이 기능이 부족하면 턱관절과 저작근에 과도한 긴장이 발생할 수 있으며

장기적으로 통증이나 기능 장애를 유발할 수 있습니다.

 

이번에 저희 노원역교정치과에 내원해주신 20대 남성환자분께서는

교정 진행을 위해 24년 4월 저희 달라스치과를 찾아주셨습니다.

 


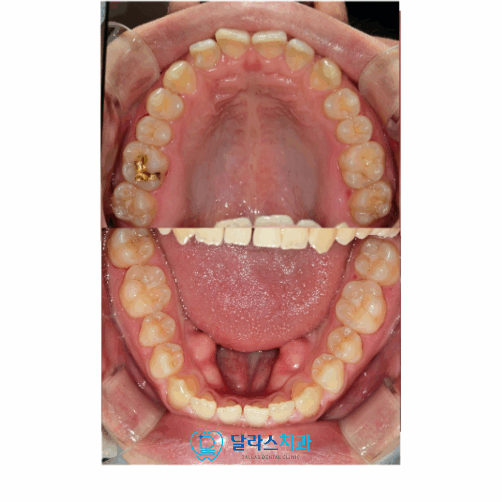
위아래의 치아를 보면 전치부가 약간씩 틀어져 있는 것을 확인 할 수 있습니다

 

오른쪽 위의 두 번째 앞니를 보면 치아의 모양이 기형적인 것을 확인할 수 있습니다.

이 기형치로 인해서 교합관계가 방해를 받아서 정상적으로 물리지 않고 있었습니다.

또 한 가지의 문제점은 송곳니가 너무 깊게 맞닿아있는 딥바이트로 인해서

정상적인 “Canine guidance” 가 이루어지지 못하고 있었습니다.

 

환자분께서 인비절라인을 통해서 교정을 진행하기를 원하셔서 투명교정을 진행하였는데

이런 상황에서는 송곳니의 위치를 교정적으로 재배열해

정상적인 guidance를 만들어 주는 것이 중요합니다.


투명교정장치(Invisalign)를 활용해 교합평면을 재조정하고

송곳니의 위치를 뼈 속으로 함입시켜 재배열하였습니다.

 

동시에 #12 치아에는 crown 치료를 시행하여 palatal cusp이 발달된 것을 조정하였으며,

resin build-up을 통해 송곳니의 기능적 유도를 회복시켜

측방운동 시 과도한 근긴장을 완화할 수 있도록 하였습니다.

 

 

이 과정을 진행한지 약 6개월만에 송곳니의 위치가 조정되어

교합이 열린 것을 확인할 수 있습니다.

이후 약 6개월동안 통합적인 치료를 통해 턱관절의 부담이 해소되고

교합이 안정되어 매우 만족스러운 치료 결과를 얻으셨습니다.

 

 

인비절라인으로 교정을 시작한지 1년만에 치료를 마무리하고

턱관절의 안정성까지 확보하는 치료를 진행하여 환자분께서는 매우 만족해하셨습니다.

 

저희 노원역교정치과 달라스치과는

앞으로도 교합의 기능적 안정성과 턱관절의 건강도 함께 고려하는

교정 진료를 위해 최선을 다하겠습니다.

 

감사합니다.

 

*모든 증례 사진은 의료법 제23조, 제 56조에 의거하여, 당사자의 동의하에 게시하였습니다.
*치료 사진은 모두 본원에서 치료한 환자분의 사진입니다.
*치료 사진은 모두 동일인의 사진이며, 동일조건에서 촬영하였습니다.
*개인의 차이에 따라 시술 및 수술 후 부작용이 발생할 수 있으며, 의료진과 충분한 상담을 받으시기 바랍니다.

네이버지도 바로가기




문의 전화

02-931-5165

네이버 예약

네이버 예약