노원역치과 다수 충치 치료와 좁은 골폭의 임플란트 식립
안녕하세요
노원역치과
달라스치과입니다.
치아가 빠진 상태로 오래 방치되면 그 부분에만 문제가 생기는 것이 아니라
전체적인 구강 구조에 연쇄적인 영향을 미치게 됩니다.
치아는 맞물려 있는 치아와 서로 균형을 이루며 유지되는데
한쪽 치아가 빠지면 그 반대편 치아인 대합치는
점차 그 자리를 향해 내려오거나 솟아오르는 ‘정출’이 진행되게 됩니다.
또한 상실된 치아의 인접한 치아들은 빈 공간을 메우기 위해
점점 쓰러지고 이동하게 됩니다.
이러한 변화들은 결과적으로 씹는 힘의 분산이 제대로 이뤄지지 않게 하고
그로 인해 치아 사이에 음식물이 더 잘 끼고
충치나 잇몸병이 생기기 쉬운 환경으로 이어집니다.
특히 어금니처럼 저작 기능의 핵심이 되는 부위에서
이러한 변화가 발생할 경우 턱관절에까지 부담을 주게 되며
장기적으로 두통, 턱 통증, 개구장애 같은 기능적인 문제까지 야기할 수 있습니다.
따라서 치아 상실 이후에는 단순히 빈 자리를 채우는 것을 넘어서
전체 교합 상태를 맞춰주는 치료가 반드시 필요합니다.
이렇게 치아가 상실되거나 충치로 인해서 머리 부분이 많이 손상되어
전체적인 배열에까지 문제를 발생시킨 경우
가장 근본적인 해결책은 전체적인 교정치료를 통해
변화된 치아의 위치를 다시 올바르게 잡아주는 것입니다.
정출된 치아는 원래 위치로 함입시키고 쓰러진 치아는
올바른 방향으로 세워 전체적인 교합 평면을 회복해야만
장기적인 안정성과 기능성을 기대할 수 있습니다.
시간이 오래 걸릴 수는 있지만 이런 접근은 일시적인 대처가 아니라
근본적인 해결을 지향하기 때문에 환자분의 턱관절 건강과
남아 있는 자연치의 수명을 늘리는 데에도 매우 유익합니다.
만약 향후 임플란트를 계획하고 있는 경우라면
교합 상태는 더욱 중요해집니다.
임플란트는 자연치와는 달리 충격을 분산하는 치주인대가 없기 때문에
교합이 정확히 맞지 않으면 과도한 하중이 특정 부위에 집중되어
임플란트 주위의 뼈가 흡수되거나 보철물이 파절되는 등의 문제를 일으킬 수 있습니다.
따라서 임플란트 식립 전에는 반드시 주변 치아의 위치를 이상적으로 조정해
교합을 안정시키는 과정이 선행되어야 하며
교정 치료와 임플란트 치료가 유기적으로 연결되어야만 좋은 결과를 기대할 수 있습니다.
이번에 노원역치과에 내원하신 40대 여성 환자 분께서는
상실된 어금니 부위와 상실 부위로 정출된 대합치,
쓰러진 인접 치아로 인해 여러 문제가 복합적으로 나타나고 있는 상태였습니다.
환자분께서는 교정과 임플란트가 동시에 필요한 복합적인 치료가 요구되는 만큼
각 분야의 전문의가 모두 상주해서 치료가 가능한 것을 원하셨기에
저희 노원역치과 달라스치과로 내원하셔서 치료를 시작하게 되었습니다.

단순 보철로는 근본적인 해결이 어려우면서도
절충한 상태로 치료를 해야하는 상황으로 판단되었으며
전체적인 교합을 재정비하기 위한 교정 치료가 선행되어야 올바른 치료가 이루어질 수 있었습니다.

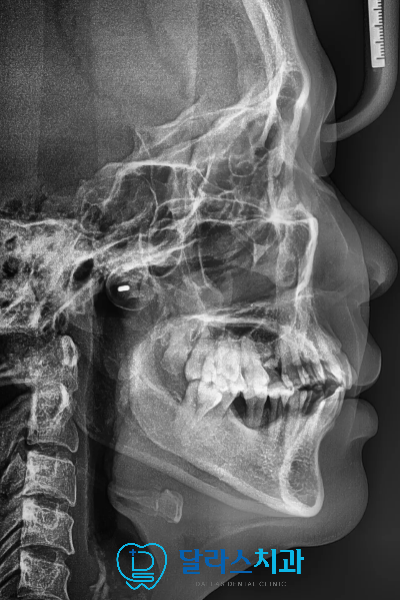
측면에서 바라보는 X-ray를 촬영하여 골격적인 부분도 함께 확인해보았습니다.

구강 내 배열을 보면 위 아래 악궁이 V자 형태로 돌출감이 있는 상태였습니다.
씹는 부분에 패인 홈들을 따라서 까맣게 선 또는 점들이 보이는데 이것들은 모두 충치입니다.
충치가 구강 내 전반에 걸쳐서 발생해 있어 충치 치료를 통해서 해결해야하는 상황이었습니다.

측면과 정면상태를 보면 상실된 어금니 부위 인접 치아들이 쓰러져있고
정출되어 있는 것을 구강내 검진을 통해서 확인할 수 있습니다.
상실된 부위에 임플란트 치료도 병행될 예정이었기 때문에
다양한 문제들을 해결하고 교합이 올바르게 형성된 상태에서
임플란트를 식립해야 장기적인 예후를 기대해 볼 수 있음을 설명드렸습니다.

교정 장치를 부착하여 교정을 시작하면서 밑으로 내려간 어금니를 위로 올리기 위해
고정역할을 해주는 스크류를 식립하고 탄성이 있는 파워체인을 연결하여 힘을 주었습니다.
시간이 다소 오래 걸리는 치료이지만 이 과정을 통해서 정상적인 배열을 찾을 수 있습니다.

바깥쪽 뿐 아니라 안쪽에도 스크류를 식립하여
정출된 어금니를 제자리로 올 수 있도록 힘을 주는 과정입니다.

노원역치과에서 교정 및 충치 치료, 임플란트 치료가 모두 마무리된 모습입니다.
위 아래 검게 있던 충치 부위는 범위와 우식 깊이에 따라서
치료를 마무리하였고 교정을 통해서 치열을 고르게 한 뒤
고정식 유지 장치로 재발을 방지하였습니다.
상실된 부위의 임플란트는 총 4개를 식립하여 교합에 빈 공간이 없도록 마무리하였습니다.

저희 노원역치과 달라스치과는 교정과 임플란트 모두 전문적으로 협진이 가능한 체계를 갖추고 있어서
교합과 기능, 심미성을 동시에 고려한 최적의 치료를 제공해드리고 있습니다.
환자분의 전체적인 치아 구조를 장기적으로 건강하게 유지하기 위해
앞으로도 최선을 다해 진료하겠습니다.
감사합니다.
*모든 증례 사진은 의료법 제23조, 제 56조에 의거하여, 당사자의 동의하에 게시하였습니다.
*치료 사진은 모두 본원에서 치료한 환자분의 사진입니다.
*치료 사진은 모두 동일인의 사진이며, 동일조건에서 촬영하였습니다.
*개인의 차이에 따라 시술 및 수술 후 부작용이 발생할 수 있으며, 의료진과 충분한 상담을 받으시기 바랍니다.