노원치과 눈에 띄는 골드와 아말감을 지르코니아와 레진으로 변경
안녕하세요
노원치과
달라스치과입니다.
치아의 기능적인 회복뿐만 아니라 심미적인 개선을 함께 추구하는 치료를 심미치료라고 합니다.
과거에는 충치나 손상된 치아를 치료할 때 기능적인 복원에 초점을 맞추어
금으로 씌운 크라운이나 아말감과 같은 금속 재료를 주로 사용했습니다.
그러나 이러한 재료는 강도와 내구성 면에서는 우수하지만 색상이 어둡거나 너무 튀어서
자연치와 어울리지 않아 웃을 때나 말할 때
금속이 드러나 보이는 심미적 한계가 있었습니다.
특히 아말감의 경우 은색빛이 도드라져 보이거나 시간이 지나면서 주변 치질이 변색되기도 하고,
일부 환자들은 금속 알레르기나 미세한 금속 맛에 불편을 느끼기도 합니다.
최근에는 치아색과 유사한 재료를 이용한 심미치료가 널리 시행되고 있습니다.
대표적으로는 지르코니아 크라운과 레진 수복이 있습니다.
지르코니아는 강도와 투명도가 모두 우수해 자연치아와 거의 구분되지 않을 만큼
자연스러운 색감과 질감을 구현할 수 있습니다.
금속이 포함되지 않아 잇몸과 만나는 경계면이 어둡게 비치지 않으며,
변색이나 부식이 없다는 장점도 있습니다.
또한 내구성이 강해 어금니처럼 저작력이 큰 부위에도 안전하게 사용할 수 있습니다.
한편 레진 수복은 복합수지 재료를 이용하여 충치나 아말감 부위를
치아색으로 복원하는 치료로 짧은 시간 안에 마무리할 수 있으며
치아 삭제가 최소화된다는 점에서 보존적입니다.
광중합 방식으로 단단히 경화되어 기능적으로도 충분한 강도를 확보할 수 있습니다.
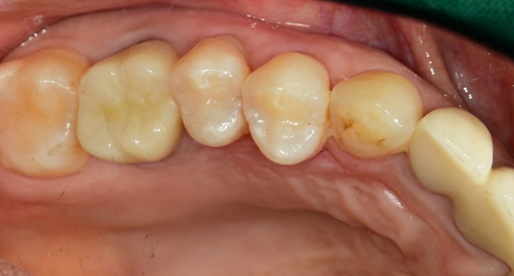
이번에 노원치과 달라스치과를 방문하신 50대 여성 환자분은
“어렸을 때 치료했던 금니와 아말감을 치아색으로 바꾸고 싶다”고 내원하셨습니다.

상악 어금니에 금 크라운이 있었고, 소구치 부위에는 오래된 아말감 충전물이 변색되어 있었습니다.
전체적으로 구강 내 금속색이 드러나 심미적으로 어두운 인상을 주고 있었기 때문에
기능은 유지하면서 자연스러운 색감으로 개선하기 위해 심미치료를 계획하였습니다.

먼저 금니가 씌워져 있던 부위는 지르코니아 크라운으로 교체하였습니다.
기존 보철물을 제거한 후 잇몸과 치조골 상태를 확인하고 정밀한 인상채득을 진행하였습니다.
제작된 지르코니아 크라운은 인접 치아의 색상, 투명도, 표면 질감을 세밀하게 맞추어
자연스럽게 조화되도록 하였으며 장착 후에는 금속 크라운 특유의 반짝임 없이
부드럽고 깨끗한 인상이 완성되었습니다.
또한 아말감이 있던 부위는 충전물을 완전히 제거하고
치아색 복합레진으로 수복하여 인접 치아와의 경계가 거의 구분되지 않도록 마무리하였습니다.

치료 후 환자분은 “치아색이 전체적으로 고르고 밝아져서 웃을 때 훨씬 자연스럽고 예뻐졌다”며
매우 만족해하셨습니다.
기능적인 면에서도 기존의 보철물과 동일한 저작력을 유지하였고,
심미적으로는 큰 개선 효과를 보였습니다.
노원치과 달라스치과는 심미적인 개선이 필요한 환자분들께
기능과 아름다움을 동시에 고려한 맞춤형 심미치료를 제공하고 있습니다.
금니나 아말감처럼 색이 부자연스러운 재료로 인해 불편함을 느끼시는 분들은
지르코니아 크라운이나 레진 수복을 통해 자연스럽고 건강한 미소를 회복하실 수 있습니다.
앞으로도 노원치과 달라스치과는 환자분의 만족을 위해
세밀한 진단과 정밀한 시술로 최선의 결과를 만들어가겠습니다.
감사합니다.
*모든 증례 사진은 의료법 제23조, 제 56조에 의거하여, 당사자의 동의하에 게시하였습니다.
*치료 사진은 모두 본원에서 치료한 환자분의 사진입니다.
*치료 사진은 모두 동일인의 사진이며, 동일 조건에서 촬영하였습니다.
*개인의 차이에 따라 시술 및 수술 후 부작용이 발생할 수 있으며, 의료진과 충분한 상담을 받으시기 바랍니다.