노원치과, 앞니 돌출 및 하악 성장 부진의 성장기 아동 인비절라인 투명교정 사례
성장기 아동의 교정 치료에서는
발치 여부를 신중하게 결정하는 것이 매우 중요합니다.
성장 단계에서는 턱뼈가 계속적으로 자라기 때문에
치아만 움직이는 것이 아니라 턱의 위치 변화까지 함께 고려해야 합니다.
특히 돌출입처럼 안모에 영향을 주는 문제는 치아 배열의 문제인지,
턱의 크기와 위치 문제인지에 따라 접근 방식이 완전히 달라집니다.
많은 보호자분들께서 돌출입을 치아가 앞으로만 나와 있다고 생각하시지만
실제로는 아래턱이 상대적으로 작아 뒤로 위치한 경우에도 돌출처럼 보일 수 있습니다.
이러한 이유로 성장기에는 턱의 성장을 유도할 수 있는 치료가 중요한데
이 시기를 놓치면 성인이 되어서는 성장기때처럼 치료를 할 수도 없고
같은 효과를 기대하기가 어렵습니다.
성장기 교정의 핵심은 치아 이동과 골격 성장을 동시에 고려하여
얼굴 균형과 기능을 조화롭게 잡아주는 데 있습니다.
발치를 빨리 결정해버리면 턱의 성장을 충분히 활용하지 못하고
안모가 더 함몰되어 보일 수 있어 교정의사의 정밀한 진단이 반드시 필요합니다.
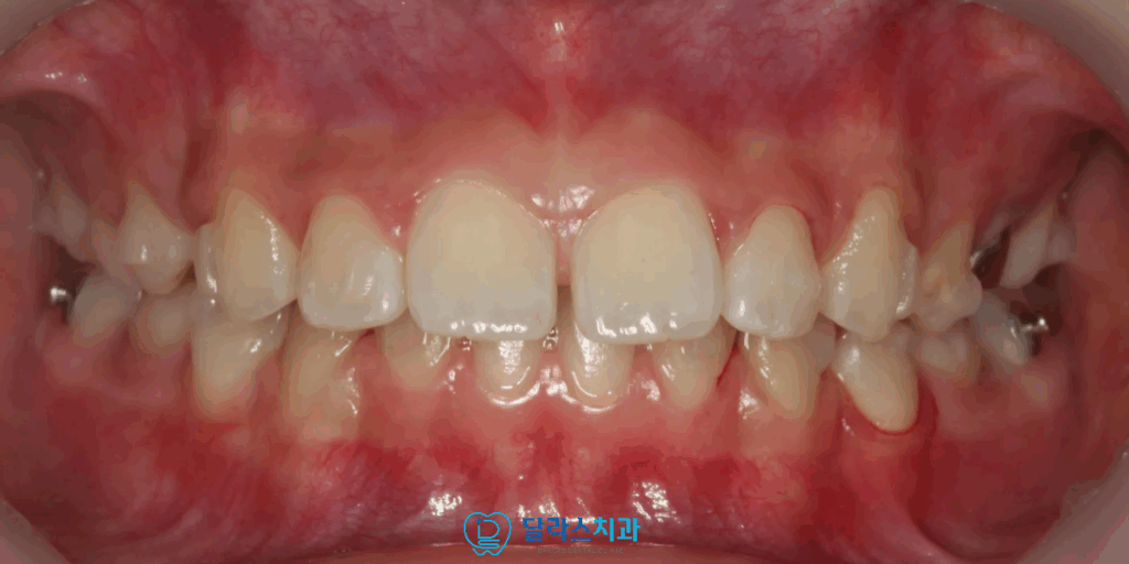
이번 노원치과 내원 환아의 경우 처음 방문 시 안모에서 돌출감이 뚜렷한 상황이었습니다,

교합 관계는 송곳니가 물리는 관계가 “full Class II”로,
즉 윗니가 아래니보다 상당히 앞으로 나온
전형적인 부정교합2급 관계를 보였습니다.

또한 위아래로 물었을 때 위쪽 앞니가 전방으로 돌출되어있는 모습을 띄어
위와 아래의 간격차이가 넓은 상태였습니다.

일반적으로 이런 형태의 부정교합은 발치나 스크류를 통한
강한 후방 이동을 고려하는 경우가 많지만 성장기라는 점을 감안해
보다 보존적인 방향으로 접근하기로 하였습니다.

이 증례에서는 Invisalign First를 적용하였고
무엇보다 환아의 매우 적극적인 고무줄 착용이 큰 역할을 하였습니다.
투명교정 장치 단독으로는 Class II 관계를 정상적인 Class I 관계로 회복시키기에 한계가 있지만
탄성을 활용한 고무줄을 적절한 방향으로 위아래에 꾸준히 착용해주는 것이
치료를 성공시키는 가장 강력한 조건입니다.
탄성이 있는 고무줄을 아래턱이 자랄 수 있는 방향으로
지속적으로 착용해주면 하악의 전방 성장 유도와 상악 치열의 후방 이동이
효과적으로 이루어질 수 있습니다.
발치를 진행했다면 오히려 입술 지지가 줄어들면서
안모가 함몰되어 보일 가능성이 있었기 때문에 신중한 진단이 필요하였습니다.

또한 아직 유치가 남아있는 혼합치열기의 상태였기 때문에
유치가 자연스럽게 빠지면서 맹출되는 영구치로 인해 자주 바뀌는 구내환경이었습니다.
그리고 상악의 돌출과 함께 아래턱의 발육이 다소 부족한 치열과
치조골성장에서 복합적인 문제를 보였기 때문에 발치를 진행하는 것보다는
성장 잠재력을 활용하여 바른 교합과 안모 개선을 유도하는 방향이 적절하여
성장기 단계에서 시도할 수 있는 Invisalign Firtst로 교정을 진행하기로 하였습니다

노원치과에서 인비절라인 퍼스트를 활용해 모든 교정이 마무리된 모습입니다.
이전에 보였던 돌출감이 모두 해소된 것을 확연하게 확인할 수 있습니다.

노원치과에서 교정을 진행하는 동안 유치가 빠지고 영구치가 모두 맹출되었으나
이미 인비절라인을 통한 각 시기별 맞춤 제작 장치로
자연스럽게 넘어가면서 최종적으로는 영구치열이 모두 가지런하게 배열되었습니다.

확연한 차이를 보이는 것은 단연 얼굴의 모습입니다.
이전의 돌출되었던 입술과 채 다물어지지 못했던 입술이 자연스럽게 마무리되었습니다.

이는 옆 뼈사진에서도 확연하게 차이가 납니다.
기존에는 앞니가 상당히 앞쪽으로 나가있고 하악이 뒤로 들어가있었던 반면
교정 마무리 후 적절한 거리에서 정상범위내의 수준으로 피개가 되는 것을 확인할 수 있습니다.

Invisalign First와 고무줄의 병행 치료를 통해 발치나 스크류 없이도
Class I 교합 관계 획득과 돌출입 개선이 가능했으며
성장기 아동에서의 성장 중 치료 개입이 갖는 큰 이점을 다시 한번 확인할 수 있는 과정이었습니다.

앞으로도 저희 노원치과 달라스치과는 성장기 교정의 중요성을 깊이 이해하고,
환자 개개인의 턱 성장 방향을 고려한 정밀한 진단을 통해 최선의 결과를 만들도록 노력하겠습니다.
감사합니다.
*모든 증례 사진은 의료법 제23조, 제 56조에 의거하여, 당사자의 동의하에 게시하였습니다.
*치료 사진은 모두 본원에서 치료한 환자분의 사진입니다.
*치료 사진은 모두 동일인의 사진이며, 동일 조건에서 촬영하였습니다.
*개인의 차이에 따라 시술 및 수술 후 부작용이 발생할 수 있으며, 의료진과 충분한 상담을 받으시기 바랍니다.