노원치과 에어플로우를 이용한 전자담배 착색 제거
안녕하세요
노원치과
달라스치과입니다.
치아 착색은 많은 분들이 심미적인 불편을 느끼는 대표적인 구강 문제 중 하나입니다.
착색은 크게 두 가지 원인으로 나뉘는데
첫째는 치아 내부에서 발생하는 내인성 착색으로,
이는 약물 복용이나 치아 발육 시기 이상으로 인해
치아 자체의 색이 변하는 경우입니다.
둘째는 음식, 음료, 흡연 등 외부 요인에 의해
치아 표면에 색소가 침착되는 외인성 착색입니다.
특히 커피, 녹차, 와인과 같은 색소가 강한 음료와 흡연은 대표적인 착색 원인으로 꼽힙니다.
최근에는 전자 담배 사용이 늘어나면서
치아 표면에 기존 담배 못지않게 많은 착색이 발생하는 경우가 많습니다.
외인성 착색은 단순히 심미적인 문제를 넘어
치태와 세균막이 함께 붙어 있는 경우가 많아
구강 건강에도 악영향을 줄 수 있습니다.
일반적으로 착색 제거는 스케일링을 통해 진행되는데,
일반적으로 사용하는 스케일러의 경우 진동을 통해서
치석 제거에는 효과적이지만 치아 표면에 넓게 퍼진 착색을
완전히 제거하기는 어려울 수 있습니다.
또한 기계적 진동으로 인해 환자분들이 시리거나 소리때문에
심리적인 불편감을 호소하기도 합니다.
이러한 한계를 보완하기 위해
최근에는 EMS사의 AirFlow 장비가 많이 활용되고 있습니다.
AirFlow는 특수 분말과 물, 공기를 고압으로 분사하여
치아 표면의 착색과 세균막을 동시에 제거하는 방식으로
얇은 팁의 진동을 활용해 치석을 제거하는 스케일링 보다
넓은 범위를 적용할 수 있으며 통증을 최소화하면서도 매우 깨끗한 결과를 얻을 수 있습니다.
여기에 PS 팁을 함께 사용하면 잇몸과 치아 사이의 깊은 부위까지도 세밀하게 관리할 수 있습니다.
이번에 저희 노원치과 달라스치과를 내원하신 환자분은
30대 남성으로 전자 담배 사용으로 인해
치아 표면에 광범위한 착색이 생겨 인터넷을 통해
AirFlow가 효과적이라는 정보를 접하시고 내원하셨습니다.

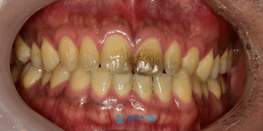
노원치과 내원 당시 치아 표면은 일반적인 스케일링만으로는
제거가 어려운 정도의 넓은 범위의 착색이 확인되었습니다.
보통 착색은 다양한 부위에서 발생하는데
환자분의 경우 전자담배 연기와 많이 접촉을 하는
앞니 쪽에 착색이 광범위하고 진하게 발생하여서
심미적으로도 매우 보기가 좋지 않았습니다.
또한 입안쪽으로는 잇몸 경계부분을 따라서 착색이 진행되어 있었습니다.

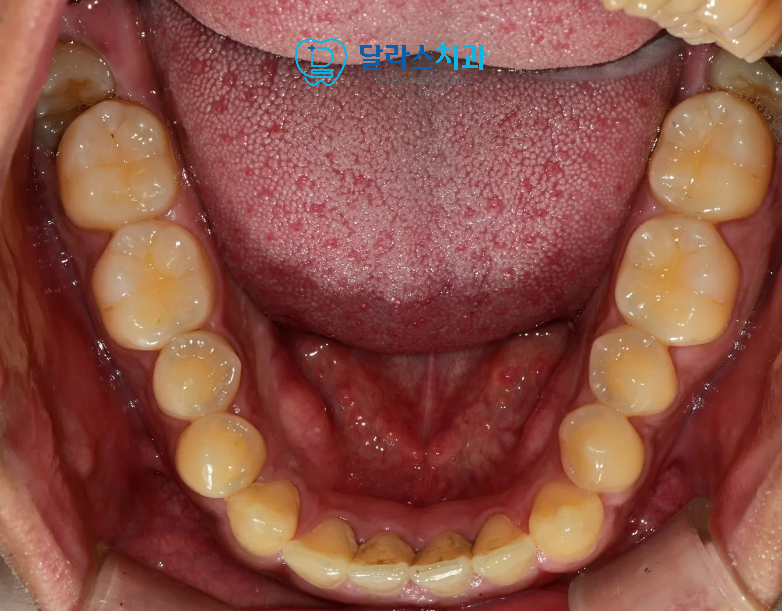
아래의 경우에는 치석까지 잇몸쪽으로 깊이 쌓여있어서
치석제거까지 함께 진행되어야 하는 상황이었습니다.

이에 따라 AirFlow와 PS 팁을 병행한 스케일링과 착색제거를 진행하였으며
치료 후 치아 표면이 깨끗하게 회복되었을 뿐만 아니라
환자분께서도 통증이나 시린 증상 없이 편안하게 치료를 받으셨습니다.

아래는 치석까지 깔끔하게 제거되어
치주건강까지 신경쓴 관리가 이루어졌습니다.

치료 후에는 착색이 다시 생기지 않도록 생활습관 관리가 중요합니다.
AirFlow는 치아 표면의 세균막까지 완전히 제거하기 때문에
치료 직후 약 30분 정도는 치아가 본인 타액에 의해 자연스럽게 코팅될 시간을 필요로 합니다.
이 시간 동안 흡연이나 커피, 녹차 같은 착색 유발 음료는 피하셔야 하며
이후에는 정상적으로 섭취하셔도 되지만
착색을 예방하기 위해서는 착색을 유발할 수 있는 식생활 습관을 교정해주는 것이 좋습니다.
이러한 생활 관리 지침까지 지켜주셔야 치료 효과가 오래 유지될 수 있습니다.

이번 사례처럼 노원치과 달라스치과에서는
단순히 치석 제거를 넘어 심미적인 부분까지
세심하게 관리할 수 있는 최신 장비를 활용하고 있습니다.
환자분이 치과 치료 과정에서 불편함을 최소화하고,
만족스러운 결과를 경험하실 수 있도록 최선을 다하겠습니다.
감사합니다.
*모든 증례 사진은 의료법 제23조, 제 56조에 의거하여, 당사자의 동의하에 게시하였습니다.
*치료 사진은 모두 본원에서 치료한 환자분의 사진입니다.
*치료 사진은 모두 동일인의 사진이며, 동일 조건에서 촬영하였습니다.
*개인의 차이에 따라 시술 및 수술 후 부작용이 발생할 수 있으며, 의료진과 충분한 상담을 받으시기 바랍니다.