노원치과, 임플란트 식립 후 잇몸 이식 수술까지

우리의 구강 건강은 치아 한 두 개의 상태에 국한되지 않고

전체적인 치열과 잇몸 그리고 턱관절이 조화를 이룰 때 유지됩니다.

정상적인 치아는 서로를 옆에서 지지해 주며

위아래가 맞물려 음식물을 씹는 힘을 적절히 분산시킵니다.

하지만 예기치 못한 사고나 질환으로 치아를 상실하고

이를 오랜 기간 그대로 두게 되면 입안의 질서는 급격하게 무너지기 시작합니다.

빈 공간을 향해 주변 치아들이 서서히 쓰러지게 되는데

이는 마치 도미노 현상처럼 전체 치열의 변형을 불러옵니다.

특히 맞물리던 짝을 잃은 반대편 치아는 지지대를 찾으려는 성질 때문에

원래 자리에서 벗어나 솟아오르거나 아래로 내려오는 정출 현상을 겪게 됩니다.

이러한 변화는 씹는 면의 수평을 깨뜨려 특정 치아에 과도한 압력을 가하게 되고

결국 턱관절의 통증이나 건강하던 다른 치아들의 파손을 야기합니다.

더불어 치아를 감싸고 있던 잇몸의 변화도 무시할 수 없습니다.

치아가 없는 자리는 잇몸뼈가 자연스럽게 흡수되면서 부피가 줄어들고

임플란트를 튼튼하게 지탱해 줄 질긴 잇몸인 각화치은이 부족해집니다.

각화치은은 음식물 찌꺼기나 세균으로부터

임플란트 주변을 방어하는 매우 중요한 역할을 수행합니다.

따라서 치아 치료는 상실된 부위를 단순히 채우는 것뿐만 아니라

무너진 전체 구강 환경을 다시 재건하는 포괄적인 접근이 반드시 필요합니다.

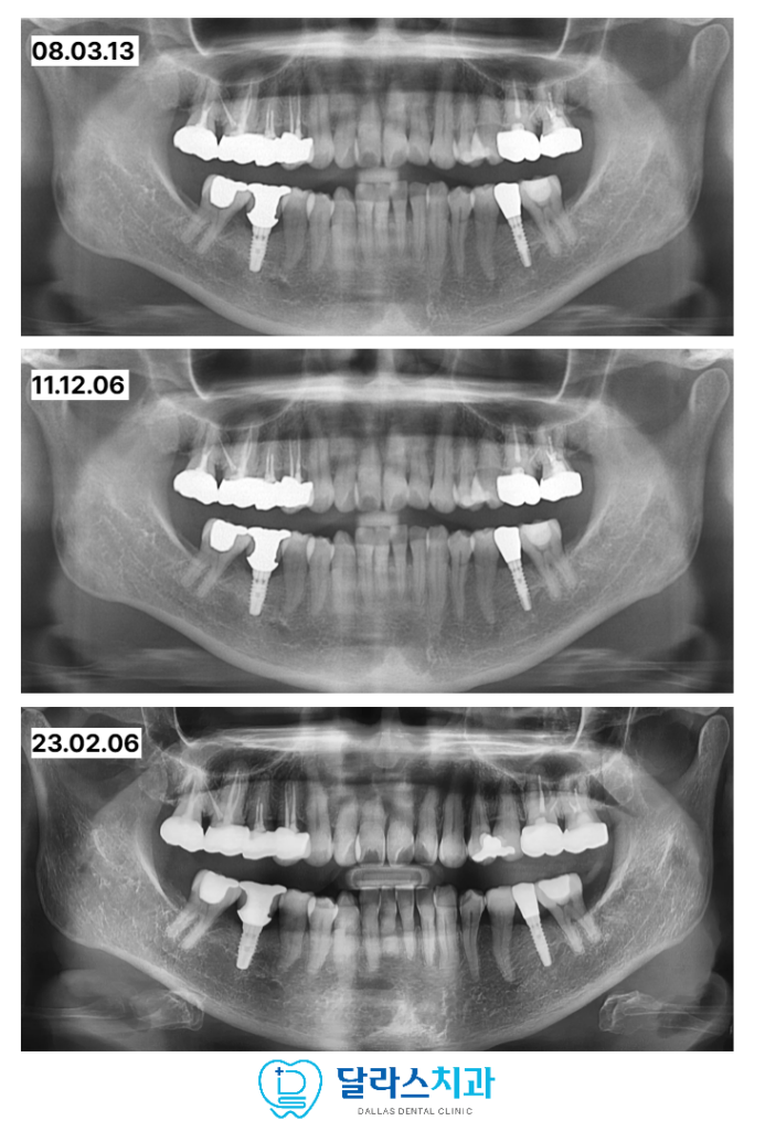
노원치과 달라스치과를 찾아주신 60대 여성 환자분의 케이스는

이러한 무너진 구강 환경을 정밀하게 복원한 사례입니다.

노원치과 환자분께서는 아래 양쪽의 첫 번째 큰어금니 치아를 상실하신 이후

상당한 시간이 흐른 상태에서 내원하셨습니다.

정밀 검사 결과 상실된 부위 뒤편에 위치한

두 번째 큰 어금니 치아들이 앞쪽으로 심하게 기울어져 있었으며

위쪽 어금니들은 지지대를 잃고 아래로 많이 내려와

전체적인 교합 평면이 심하게 어긋나 있었습니다.

이처럼 치아 배열이 무너진 상황에서

무작정 임플란트 기둥을 심는 것은 좋은 대책이 될 수 없습니다.

공간이 부족하여 보철물을 제대로 만들 수 없을 뿐만 아니라,

무리하게 진행하더라도 씹는 힘이 올바르게 전달되지 않아

금방 문제가 생길 수 있기 때문입니다.


또한 환자분은 오랜 세월 치아 없이 지내시면서 잇몸 조직이 매우 얇아져 있었으며

임플란트를 보호해 줄 단단한 잇몸이 거의 존재하지 않았습니다.

이러한 환경에서는 임플란트 식립 이후의 장기적인 안정성을

확보하기가 매우 어렵다는 판단을 내렸습니다.

이에 노원치과 달라스치과에서는

단계적이고 체계적인 치료 계획을 실행에 옮겼습니다.

먼저 치아 이동을 위한 공간을 확보하기 위해

더 이상 기능하지 않는 사랑니를 발치하였습니다.

그 다음 쓰러져 있던 47번 어금니를 올바른 각도로 세우기 위해

교정용 나사인 스크류를 지지대로 활용하여

어금니를 바로세우는 업라이팅 치료를 진행하였습니다.

기울어진 치아를 수직으로 바로 세움으로써 임플란트가 들어갈 공간을 마련하고

무너졌던 씹는 평면의 높이를 정상화하였습니다.

이렇게 기초 토대를 견고히 다진 뒤에 비로소 적절한 위치에 임플란트를 식립하였습니다.

하지만 수술 이후의 오랜 수명을 위해 가장 중요한 과정이 남아 있었습니다.

임플란트를 식립한 주변으로 잇몸이 부족하여 밋밋하게 꺼져 있는 것을 볼 수 있는데요.

부족한 잇몸 조직을 보강하기 위해 환자분의 입천장에서 건강한 잇몸 세포를 채취하여

임플란트 주변에 옮겨 심는 유리치은이식술(FGG)을 시행한 것입니다.

이 과정을 통해 임플란트 주위에 두껍고 튼튼한 방어벽이 형성되었으며

이는 외부의 자극이나 세균으로부터 임플란트를 지켜주는 결정적인 역할을 하게 되었습니다.

이러한 정교한 수술과 보강 과정을 거친 결과

노원치과 환자분은 08년도 이후 15년이 지난 최근까지도

아무런 불편함 없이 임플란트를 사용하고 계십니다.

장기적인 관점에서 구강의 전체적인 구조와 환경을 개선한 선택이

옳았음을 증명하는 소중한 사례입니다.

노원치과

노원치과 달라스치과는

환자의 평생 구강 건강을 목표로 삼고 모든 진료 과정에 신중을 기하고 있습니다.

환자 개개인이 처한 상황과 구강 내의 복합적인 문제를 면밀하게 분석하여

가장 이상적인 결과를 도출해 내는 것이 달라스치과가 가진 진료의 핵심입니다.

이번 사례처럼 15년이 넘는 세월 동안 안정적인 기능을 유지할 수 있었던 이유는

기초부터 탄탄하게 다지는 세밀한 치료 과정과 숙련된 기술력 덕분이라고 자부합니다.

노원치과 달라스치과는 환자분들이 오랜 기간 편안하게 식사하시고

건강한 일상을 누리실 수 있도록 앞으로도 모든 진료에 정성을 다할 것입니다.

한 번의 치료가 평생의 만족으로 이어질 수 있도록

수준 높은 진료과 책임감을 바탕으로 늘 최선을 다해 매진할 것을 약속드립니다.

언제나 믿음을 가지고 방문해 주시는 분들에게 정직하고

완성도 높은 의료 서비스를 제공하기 위해 끊임없이 노력하겠습니다.

*모든 증례 사진은 의료법 제23조, 제 56조에 의거하여,

당사자의 동의하에 게시하였습니다.

 

*치료 사진은 모두 본원에서 치료한

환자분의 사진입니다.

 

*치료 사진은 모두 동일인의 사진이며,

동일 조건에서 촬영하였습니다.

 

*개인의 차이에 따라

시술 및 수술 후 부작용이 발생할 수 있으며,

의료진과 충분한 상담을 받으시기 바랍니다.

네이버지도 바로가기







문의 전화

02-931-5165

네이버 예약

네이버 예약