노원치과 잔존 유치 부위의 공간 확보를 위한 교정치료 후 임플란트 식립
안녕하세요
노원치과
달라스치과입니다.
임플란트를 식립하기 위해서는
해당 부위에 충분한 치조골의 양과 치아 간 간격이 확보되어야 합니다.
공간이 부족한 상태에서 임플란트 식립을 진행하면
임플란트의 직경과 길이가 제한되어
초기에 고정되는 힘이 부족해져서
장기적인 안정성이 떨어질 수 있습니다.
또한 인접 치아와의 간격이 비정상적으로 좁아져있는 경우
식립을 하더라도 실제 눈에 보이는 보철물 형태가 부자연스러워집니다.
특히 심미성이 중요한 앞니에서는
좌우 치아의 대칭과 잇몸 라인이 불균형하게 형성될 가능성이 있어
최종 결과의 완성도에 큰 영향을 미칩니다.
이런 이유로 임플란트 식립 전
치조골과 보철물이 들어갈 공간이 확보되었는지 여부를
정밀하게 진단하는 과정은 핵심이라고 할 수 있습니다.
임플란트를 식립한 뒤 보철물이 들어갈 공간이
충분하지 못한 경우는 다양한 원인으로 발생합니다.
첫 번째,
오랜 기간동안 치아 결손 부위를 방치하여
인접 치아가 쓰러지면서 경사 이동하여 폭이 줄어든 경우
두 번째,
상실된 부위가 장기간 방치되면서
대합되는 치아가 정출되어 높이가 부족한 경우
세 번째,
전체 치열이 고르지 못하여 특정 부위 공간이 부족한 경우
마지막으로,
어릴 때 미처 빠지지 못하고 남아있던 유치로 인한 공간 협소
등이 보철물이 들어갈 공간을 좁게 만드는 대표적인 원인입니다.
이렇게 다양한 상황에서 공간 확보를 위해서는 여러 방법이 활용됩니다.
첫 번째,
교정을 통해 인접 치아를 이동시켜 필요한 간격을 만드는 방법
두 번째,
치조골이 흡수된 경우 골이식으로 뼈를 재건하는 방법
세 번째,
인접해 있는 치아의 형태를 최소 범위 내에서 조정하는 보철적 방법 등이 있습니다.
각 방법의 선택은 환자의 연령, 결손 부위 위치,
심미적인 부분에 대한 환자의 요구, 전신 건강 상태 등
여러 요소를 종합적으로 고려해 결정하게 됩니다.
저희 노원치과 달라스치과에서 치료를 진행한 증례에서는
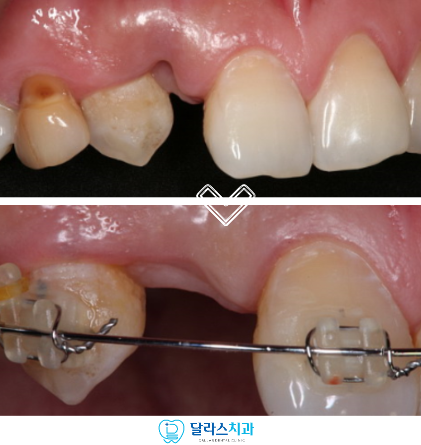
만기 잔존 유치로 인해 오른쪽 두 번째 앞니 부위의 식립 공간이 부족한 상태였습니다.

씹는 부분에서 바라보면
유치 자체도 크기가 작기 때문에 공간이 매우 부족합니다.

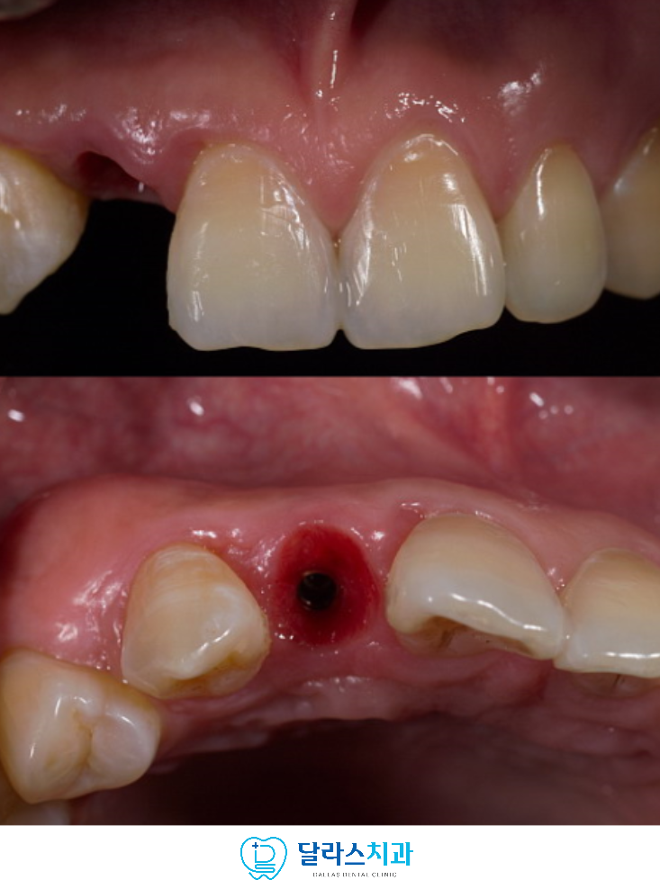
x-ray를 촬영해서 보면 임플란트를 식립할 공간도 부족하고
최종 보철이 들어가기에는 너무나 폭이 좁은 것을 확인 할 수 있습니다.

환자분과 충분한 상의를 통해서 안정적이고 심미적인 임플란트 결과를 위해
교정을 우선적으로 시행하여 인접 치아를 이동시켜
필요한 폭을 확보하는 것으로 계획하였습니다.

교정 장치를 부착하여서 기존보다 약 3배 이상 되는 공간을
확보한 이후에는 임플란트를 식립하였습니다.

식립하면서 육안으로 확인한 결과 기존에 유치를 발치하고
공간을 확보한 입술쪽 부분에 치조골이 부족한 것을 확인하였습니다.

임플란트의 안정적인 골유착을 위해서
입술쪽에 치조골을 이식하였습니다.

임플란트 식립까지 완료한 후에는 임시 치아를 장착하여
잇몸 라인을 자연스럽게 형성하였습니다.

이 과정을 통해 최종 보철물이 인접 치아와
조화롭게 자리잡을 수 있도록 기반을 마련했습니다.

마지막 단계에서 임플란트를 보철 수복을 완료하였으며
환자분은 심미성과 기능 모두에서 만족스러운 결과를 경험하셨습니다.
노원치과에서는
보철물에는 작은 스크류 홀이 있는 타입으로 제작을 하여
필요할 때 보철물을 스크류로 풀어 제거할 수 있습니다.
겉에서 보기에는 완전하게 장착되어 깔끔하지만 문제가 발생하였을 때
유지,보수를 필요로 할 때에는 분리 가능하다는 장점이 있습니다.

임플란트 치료에서 공간 관리(space management)는
단순한 준비 과정이 아니라 치료 성공의 필수 조건입니다.
공간이 충분해야 식립 위치와 각도를 이상적으로 구현할 수 있고
적절한 보철물의 크기를 통해서 교합 안정과 장기적인 예후까지
좋은 결과를 만들어 낼 수 있습니다.
저희 노원치과 달라스치과는
환자 개개인의 치열 구조와 잇몸 상태, 교합 관계를 면밀히 분석하여
가장 적합한 공간 확보 방법을 적용하고
심미성과 기능을 모두 만족시키는 결과를 위해
끝까지 최선을 다하겠습니다.
감사합니다.
*모든 증례 사진은 의료법 제23조, 제 56조에 의거하여, 당사자의 동의하에 게시하였습니다.
*치료 사진은 모두 본원에서 치료한 환자분의 사진입니다.
*치료 사진은 모두 동일인의 사진이며, 동일조건에서 촬영하였습니다.
*개인의 차이에 따라 시술 및 수술 후 부작용이 발생할 수 있으며, 의료진과 충분한 상담을 받으시기 바랍니다.