노원치과, MTA를 이용한 전치부 부분교정
사람의 치아 배열은 한 번 가지런해졌다고 해서
평생 그대로 유지되는 구조가 아닙니다.
성장기가 끝난 이후에도 치아는 미세하지만
지속적으로 움직이는 경향이 있으며,
이를 치열의 근심 이동이라고 합니다.
근심 이동이란 치아가 앞쪽 방향으로 서서히 이동하는 현상으로
나이가 들수록 앞니가 점점 겹쳐지거나 비뚤어지는 원인이 됩니다.
젊었을 때는 크게 느끼지 못하더라도 시간이 지나면서
앞니 사이가 좁아지고 겹침이 생기며
거울을 보거나 사진을 찍을 때 이전과 다른 인상을 받는 경우가 많습니다.
이러한 전치부의 틀어짐을 crowding이라고 하며
단순히 심미적인 문제에 그치지 않고
구강 위생 관리 측면에서도 불리하게 작용합니다.
치아가 겹쳐 있는 부위는 칫솔이 깊숙이 닿기 어렵기 때문에
음식물과 치태가 쉽게 남게 되고
그 결과 잇몸 염증이나 출혈, 잇몸 퇴축으로 이어질 가능성이 높아집니다.
따라서 앞니 배열의 변화는 외모뿐 아니라
장기적인 치아 건강을 위해서도 관리가 필요한 부분입니다.
앞니 배열이 흐트러진 모든 경우에 전체교정이 필요한 것은 아닙니다.
문제의 범위가 전치부에 국한되어 있고,
어금니 교합이 비교적 안정적인 경우라면
부분교정을 통해 충분한 개선을 기대할 수 있습니다.
부분교정은 필요한 치아에만 교정 장치를 부착하여
치료 범위를 최소화하는 방식으로
치료 기간과 부담을 줄이면서도
눈에 띄는 변화를 만들 수 있다는 장점이 있습니다.
특히 사회생활을 하고 있거나 교정 기간에 대한 부담이 큰 성인 환자분들께
적합한 치료 방법으로 고려될 수 있습니다.
이번에 달라스치과를 찾아주신 환자분께서도
앞니 하나가 처음에는 이정도는 아니었는데
점점 틀어지는 것 같다며 저희 노원치과를 찾아주셨습니다.


치열은 나이가 들어감에 따라서
전치부방향(근심방향)으로 쏠리는 경향이 발생하기 때문에
처음보다 충분히 더 삐뚤어질 수 있습니다.

어금니 교합은 안정적으로 물리고 있는 상태이면서
안모가 특별하게 돌출이 있거나 하지 않았기 때문에

노원치과에서는
Mini Tube Appliance(MTA)를 이용한
상하악 전치부 부분교정을 계획하였습니다.

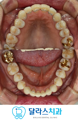
위아래 앞니 각각 6개씩, 총 12개의 치아에만 장치를 부착하여 치료를 진행하였습니다.
MTA를 활용한 전치부 부분교정은
불필요한 치아 이동을 줄이고 앞니 배열 개선에 집중한 것이 특징입니다.
Mini Tube Appliance는 장치의 크기가 작고 구조가 단순하여
이물감이 비교적 적은 편이며 짧은 기간 동안 효율적인 치아이동을 유도하는 데 도움이 됩니다.
이로 인해 일상생활에서의 불편함을 최소화하면서도
심미적인 개선을 목표로 치료를 진행할 수 있었습니다.
치료 기간은 총 4개월만에 종료되었으며
치료 과정 전반에 걸쳐 치아 이동 양상과 잇몸 상태를 세심하게 관찰하며 조절하였습니다.

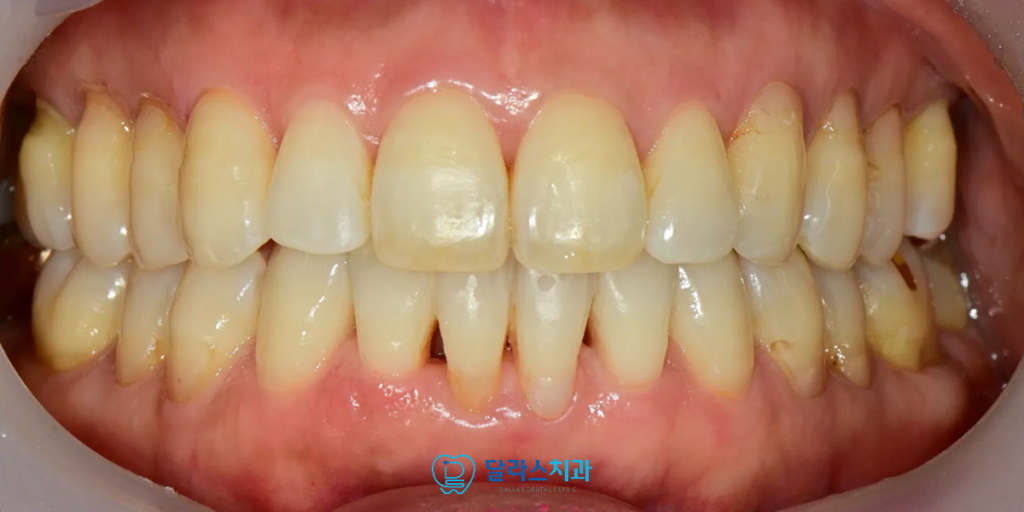
앞니의 겹침이 해소되면서 치열이 정돈되었고
그에 따라 칫솔질이 한결 수월해져 잇몸 관리 측면에서도
긍정적인 변화를 기대할 수 있는 상태로 마무리되었습니다.

또한 전치부는 대화나 웃을 때 가장 먼저 보이는 부위이기 때문에,
짧은 기간 안에 인상이 달라졌다는 점에서 환자분의 만족도도 높게 나타났습니다.

저희 노원치과 달라스치과는 환자분의 치열 상태와 교합, 생활 환경을 종합적으로 고려하여
과도하지 않은 치료 계획을 세우는 것을 중요하게 생각합니다.
모든 경우에 동일한 방식의 교정을 적용하기보다는
꼭 필요한 범위 내에서 가장 효율적인 방법을 선택하여
치료 부담은 줄이고 결과의 완성도는 높이고자 합니다.
앞으로도 정확한 진단과 책임 있는 치료 과정을 통해
환자분 한 분 한 분에게 최선의 결과를 제공할 수 있도록 꾸준히 노력하겠습니다.
감사합니다.