노원치과, MTA 부분교정을 통해

전치부 치아를 바로잡는

 

사람의 신체는 시간이 흐름에 따라 자연스럽게 변화

과정을 겪게 되며 구강 환경 역시 예외는 아닙니다.

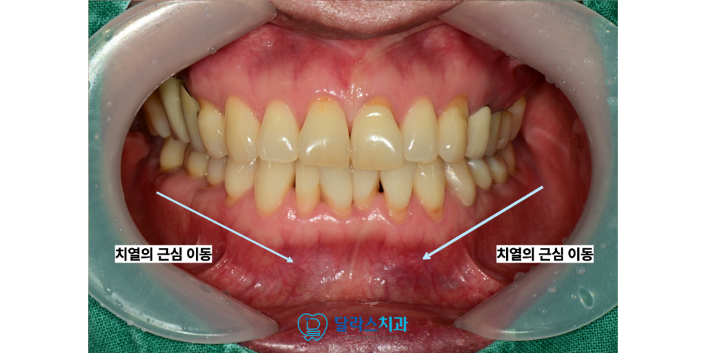
특히 치아는 평생에 걸쳐 조금씩 앞쪽으로 이동하려는

성질을 가지고 있는데 이를 치열의 근심 이동이라고 부릅니다.

이러한 현상이 지속되면 가지런했던 치아들이

서로 겹치거나 뒤틀리는 현상이 나타나게 됩니다.

흔히 치아가 삐뚤삐뚤해졌다고 표현하는 이러한 상태는

단순히 외관상의 문제에 그치지 않고

구강 위생 관리 측면에서 매우 불리한 조건을 형성합니다.

 

치아가 겹쳐진 부위는 칫솔질이 잘 되지 않아

음식물 찌꺼기나 치석이 쌓이기 쉽고

이는 결국 잇몸 질환이나 충치로 이어지는 원인이 됩니다.

중장년층에 접어들수록 치아의 배열을 바로잡는 것은

단순히 심미적인 만족을 넘어 건강한 치주 조직을

유지하기 위한 필수적인 선택이 되기도 합니다.

과거에는 교정 치료라고 하면 입 전체에 복잡한 장치를 장착하고

수년의 시간을 들여야 하는 부담스러운 과정으로 인식되었습니다.

 

“빠르고 효율적인 부분 교정”

 

하지만 문제가 되는 특정 부분만을 선택적으로

빠르게 교정할 수 있는 다양한 방법들이 있습니다.

특히 아주 작은 원통형 장치를 이용하는 방식은

장치가 겉으로 크게 드러나지 않으면서도 치아 이동 효율이 높아

짧은 기간 내에 원하는 결과를 얻을 수 있다는 장점이 있습니다

이러한 부분 교정은 전체 교정에 비해 이물감이 적고

적응 기간이 짧아 중장년층 환자분들도 큰 부담 없이 시작하실 수 있습니다.

 

무엇보다 치간 칫솔이나 치실 사용을 용이하게 만들어

장기적으로 본인의 자연 치아를 건강하게 보존할 수 있도록

돕는 예방적 차원의 의미가 큽니다.

환자의 구강 상태에 맞추어 가장 효율적인 장치를 선택하고

계획된 기간 내에 안전하게 치아를 이동시키는 것이

보철이나 임플란트 치료 전후의 완성도를 높이는 데에도 큰 역할을 합니다.

 

“실제 사례를 통해 알아보기”

 

이번에 저희 노원치과 달라스치과를 방문해 주신 60대여성 환자분의

사례를 통해 이러한 부분 교정의 실제 과정을 자세히 설명해 드리겠습니다.

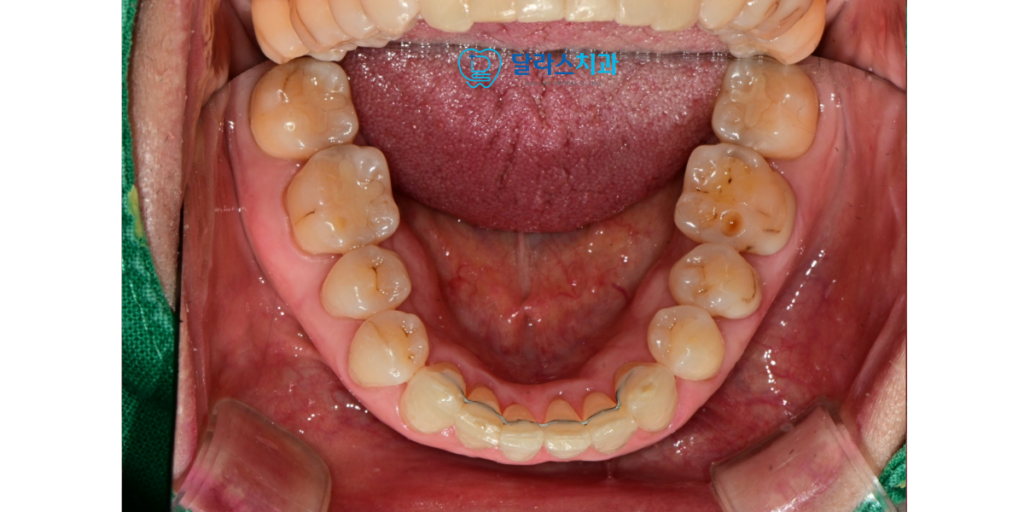
환자분께서는 세월이 흐르며 아래쪽 앞니들이 점점

겹쳐지는 현상으로 인해 불편함을 느끼고 계셨습니다.

 

 

검진 결과 하악 앞니 부위에 전형적인 치열 겹침 현상이 진행되고 있었으며

이로 인해 해당 부위의 잇몸 관리가 원활하지 않아 염증이 반복되는 상태였습니다.

 

 

저희는 환자분의 연령과 일상생활의 편의성을 고려하여

미세한 튜브 형태의 장치를 이용한 부분 교정을 제안해 드렸습니다.

 

 

먼저 하악 부위에 교정 장치를 부착하여 겹쳐진 치아들을 가지런히 펴는 작업을 시작하였습니다.

 

“하악 교정 후 상악 교정까지”

 

치료가 진행되면서 약 2달만에 하악의 치열이 눈에 띄게 개선되자

환자분께서는 치료 과정과 결과에 대해 매우 높은 만족감을 나타내셨습니다.

하악의 변화를 직접 경험하신 환자분께서는

위쪽 치아인 상악의 문제도 함께 해결하기를 원하셨습니다.

상악 역시 치아들이 서로 겹쳐 있는 부분이 있었고

특히 치아들의 높이 차이가 불규칙하여 웃을 때나

대화할 때 심미적으로 아쉬운 부분이 있었기 때문입니다.

 

 

이에 따라 상악에도 작은 튜브 모양의 교정 장치를

추가로 부착하여 본격적인 상하악 부분 교정을 진행하였습니다.

 

 

상악의 불규칙한 치아 높이를 일정하게 맞추고

겹쳐진 치아들을 제자리로 이동시키는 과정이 이어졌습니다.

이 장치는 크기가 매우 작아 점막 자극이 적고 위생 관리가 쉬워

노원치과 환자분께서 치료 기간 내내 큰 불편함 없이 생활하실 수 있었습니다.

하악에서 시작된 긍정적인 변화가 상악까지 이어지면서

전체적인 미소선이 개선됨과 동시에 양치질이 훨씬

수월해지는 이득까지 얻을 수 있었습니다.

 

 

총 치료 기간은 약 5개월이라는 비교적 짧은 시간 내에 마무리되었습니다.

 

 

60대라는 연령에도 불구하고 환자분의 적극적인 협조와

노원치과 달라스치과의 정밀한 치료 계획이 합쳐져 하악과 상악

모두에서 만족스러운 결과를 얻었습니다.

 

노원치과

( 치료 기간 : 2025.05.09 ~ 2025.10.13 )

 

“교정 치료로 되찾은 자신감”

 

치료 종료 후 노원치과 환자분께서는

겹쳐 있던 치아들이 가지런해지면서 잇몸 주변이 한결 개운해졌고

심미적으로도 젊어진 기분이 든다며 기뻐하셨습니다.

짧은 기간 동안의 집중적인 교정 치료를 통해

구강 건강의 기틀을 다시 세운 의미 있는 사례였습니다.

저희 달라스치과는 환자분이 느끼시는

작은 불편함 하나도 놓치지 않고 그 원인을 세밀하게 파악하여

가장 합리적인 해결책을 찾기 위해 노력하고 있습니다.

나이가 들면서 발생하는 치열의 변화를 자연스러운

노화 현상으로만 치부하지 않고 적절한 개입을 통해

더 나은 삶의 질을 누리실 수 있도록 돕는 것이 저희의 소명입니다.

 

“평생 건강한 치아를 위해”

 

환자분이 치료 과정에서 느끼실 심리적 부담과

신체적 피로도를 최소화하면서도 진료의 본질인

건강 회복을 놓치지 않기 위해 매 순간 신중을 기하고 있습니다.

저희는 단순히 치아를 가지런히 만드는 것에 그치지 않고

노원치과 환자분이 앞으로 남은 평생 동안 자신의 치아를

얼마나 더 편안하고 깨끗하게 관리할 수 있을지를 먼저 생각합니다.

과한 욕심보다는 환자분께 꼭 필요한 만큼의

치료를 제안하고 정성을 다해 집도하는 태도를 유지하겠습니다.

 

치아 건강은 신뢰에서 시작된다는 믿음으로

저희 달라스치과는 앞으로도 정직한 진료 철학을 지켜나가겠습니다.

노원치과 환자 한 분 한 분의 고유한 구강 특성을 존중하며

가장 효율적이면서도 따뜻한 진료를 제공하기 위해 최선을 다하겠습니다.

믿고 찾아주시는 모든 환자분께 보답하는 마음으로

세심한 관찰과 정교한 손길을 통해 건강한

미소를 되찾아 드릴 것을 약속드립니다.

 

감사합니다.

 

*모든 증례 사진은 의료법 제23조, 제 56조에 의거하여,

당사자의 동의하에 게시하였습니다.

*치료 사진은 모두 본원에서 치료한

환자분의 사진입니다.

*치료 사진은 모두 동일인의 사진이며,

동일 조건에서 촬영하였습니다.

*개인의 차이에 따라

시술 및 수술 후 부작용이 발생할 수 있으며,

의료진과 충분한 상담을 받으시기 바랍니다.

 

 네이버지도 바로가기







문의 전화

02-931-5165

네이버 예약

네이버 예약