달라스치과, 내려간 잇몸을

회복하기 위해 잇몸이식수술을

 

잇몸의 건강은 치아의 수명을 결정짓는 핵심적인 요소이며

우리 치아가 오랫동안 제 기능을 다할 수 있도록

든든하게 받쳐주는 기초와 같습니다.

하지만 여러 가지 환경적인 원인이나 신체적인 변화로 인해

잇몸이 서서히 얇아지거나 아래로 내려앉는 치은퇴축 증상이 발생할 수 있습니다.

이러한 현상은 단순히 잇몸이 낮아지는 것에 그치지 않고 치아를 보호해야 할

장벽이 허물어져 방어 체계가 무너지는 것과 같은 결과를 초래합니다.

특히 치아를 이동시키는 과정이 포함된 교정 치료를

과거에 받았던 경험이 있거나 평소에 잇몸 관리가 적절하게

이루어지지 못했을 때 이러한 퇴축 현상은 더욱 가속화될 수 있습니다.

 

“치은퇴축으로 인한 문제”

 

잇몸이 얇아지면 치아의 뿌리 부분이 외부로 노출되기 시작하는데

이 부위는 치아의 머리 부분과 달리 단단한

보호층이 없기 때문에 외부 자극에 매우 취약합니다.

이로 인해 찬물이나 찬바람에 치아가 비정상적으로 시린 증상을 느끼게 되며

이는 일상적인 식사나 대화 시에도 상당한 불편함을 유발합니다.

 

또한 미적으로도 치아가 이전보다 길어 보이고

치아 사이의 공간이 도드라져 보여 환자들에게 큰 스트레스를 주기도 합니다.

이를 치료하기 위해서 치과에서는 부족한 잇몸 조직을

보충해 주는 잇몸 이식술을 고려하게 됩니다.

최근에는 절개를 가능한 줄이면서도 이식의 성공률을

높이는 정교한 기법들이 활용되고 있습니다.

특히 환자 본인의 혈액에서 추출한 성장 인자를 활용하여

상처의 치유 속도를 비약적으로 높이고 수술 후

환자가 느낄 수 있는 통증이나 불편함을 줄여주는

보조적인 수단들도 활발히 적용되고 있는 추세입니다.

 

“잇몸이식치료, 실제 과정은?”

 

달라스치과에 내원하신 20대 여성 환자분의 사례를 통해

이러한 잇몸 이식 치료 과정을 상세히 설명해 드리겠습니다.

 

 

달라스치과 해당 환자분께서는 과거 고등학교 시절에 전체적인

치아 교정 치료를 마무리하신 이력이 있었습니다.

교정 종료 후 오랜 시간이 흐르면서 점차 잇몸이

얇아지는 것을 느끼셨고 최근에는 송곳니 부위의

치아 뿌리가 잇몸 밖으로 비쳐 보일 정도로

상태가 악화되어 본원을 찾아주셨습니다.

 

정밀 검진 결과 잇몸의 두께 자체가 매우 얇아진 상태였으며

이로 인해 극심한 시린 증상을 호소하고 계셨습니다.

의료진은 환자의 치아 상태와 잇몸의 두께를

면밀히 분석한 결과 단순히 관리만으로는 회복이 어렵다고 판단하여

VISTA technique을 이용한 잇몸 이식술을 시행하기로 하였습니다.

이 기법은 잇몸에 미세한 통로를 만들어 그 아래로 접근하는 터널 방식의 수술로

주변 조직의 손상을 가능한 줄이면서도 넓은 범위의

치아 뿌리를 효과적으로 덮어줄 수 있다는 장점이 있습니다.

 

 

이식을 위해 필요한 건강한 조직은 환자분의 입천장에서 채취하였으며

조직을 떼어낸 공여 부위의 빠른 회복을 위해

자가혈에서 추출한 PRF를 적용하였습니다.

이는 인체 내의 자연적인 치유 인자를 활용하여

상처가 덧나지 않고 빠르게 아물도록 돕는 역할을 합니다.

또한 수술 직후 발생할 수 있는 이물감이나

통증을 방지하기 위해 입천장을 보호하는 전용

상고정장치를 제작하여 적용하였습니다.

 

 

“수술 후 회복 과정은?”

 

환자분께서는 수술 초기에는 일상생활 속에서

장치를 꾸준히 착용하셨으며

어느 정도 초기 치유가 이루어진 후부터는 실밥을 제거하기 전까지

식사 시에만 장치를 착용하여 수술 부위를 보호하셨습니다.

 

 

이러한 세심한 사후 관리 덕분에 환자분께서는

우려했던 것보다 훨씬 편안하게 회복 과정을 거치실 수 있었습니다.

 

 

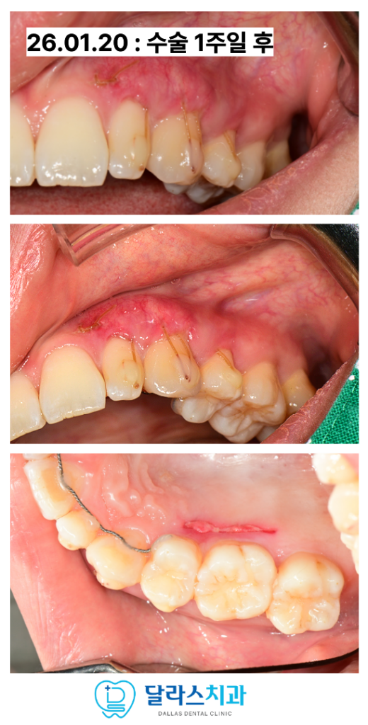
수술 후 3주가 지난시점에 잇몸이 아문 상태를 확인한 뒤

실밥을 깔끔하게 제거해드렸습니다.

 

 

수술 후 두 달이 지난 시점에 진행된 정기 검진에서

잇몸 조직을 채취했던 입천장의 공여 부위는

흉터 없이 완전히 새살로 채워져 아문 상태였으며

가장 큰 고민이었던 왼쪽 위 송곳니 부위의 잇몸은

이전과는 비교할 수 없을 정도로 두께가 보강되었습니다.

또한 노출되었던 치아 뿌리 부위가 이식된 잇몸에 의해 건강하게 덮이면서

환자분을 괴롭히던 시린 증상이 없어졌으며,

잇몸이 내려앉아 유난히 길어 보였던 송곳니의 외형이

본래의 자연스러운 위치로 복구되면서

심미적인 부분에서도 뛰어난 개선 효과를 얻었습니다.

 

 

“체계적인 치료 계획의 중요성”

 

환자분께서는 이번 치료 결과에 대해 깊은 만족감을 나타내셨으며

위쪽 치아의 성공적인 결과를 바탕으로 다음 내원 시에는

아래쪽 앞니 부위의 치은피개술식도 이어서 진행하기로 계획하셨습니다.

이처럼 잇몸 이식은 단순히 보기 싫은 부분을 가리는 것을 넘어

치아의 지지 기반을 튼튼하게 재건하여

장기적인 치아 보존을 가능하게 하는 중요한 치료입니다.

치아를 둘러싼 연조직의 건강은 치아의 수명을

결정짓는 보이지 않는 뿌리와 같습니다.

 

달라스치과는 환자분들이 느끼시는 작은 시린 증상 하나도 놓치지 않고

그 원인을 찾기 위해 정성을 다하고 있습니다.

특히 잇몸 이식과 같이 정교한 기술이 요구되는 수술일수록

환자의 해부학적 구조를 파악하고 수술 과정뿐만 아니라

수술 후의 편안함까지 고려한 체계적인 계획이 선행되어야 합니다.

 

 

달라스치과는 환자 한 분 한 분의 잇몸 상태를 내 가족의 일처럼

소중히 여기며 가장 보존적이면서도 확실한

결과를 낼 수 있는 치료 방식을 고수하고 있습니다.

치료를 마친 후 환자분께서 시린 증상 없이 편안하게

음식을 드시고 한층 더 밝아진 미소로 치과 문을 나서시는 모습을 볼 때

저희 달라스치과는 가장 큰 보람을 느낍니다.

앞으로도 저희는 환자의 평생 구강 건강 파트너로서

신중하고 책임감 있는 진료를 이어갈 것이며 더욱 세밀하고

따뜻한 손길로 최선의 결과를 만들어내기 위해 끊임없이 연구하고 정진하겠습니다.

 

감사합니다.

 

*모든 증례 사진은 의료법 제23조, 제 56조에 의거하여,

당사자의 동의하에 게시하였습니다.

*치료 사진은 모두 본원에서 치료한

환자분의 사진입니다.

*치료 사진은 모두 동일인의 사진이며,

동일 조건에서 촬영하였습니다.

*개인의 차이에 따라

시술 및 수술 후 부작용이 발생할 수 있으며,

의료진과 충분한 상담을 받으시기 바랍니다.

 

네이버지도 바로가기







문의 전화

02-931-5165

네이버 예약

네이버 예약