달라스치과 전치부의 얇은 치조골에 4세대 임플란트를 식립한 사례
안녕하세요
달라스치과입니다
치아를 발치해야 하는 경우 해당 부위의 뼈 상태는
임플란트 치료 성공에 결정적인 영향을 줍니다.
특히 치조골이 얇거나 이미 염증 등으로 손상된 부위에서는
임플란트를 식립해서 처음에 단단하게 고정되는 과정중에
어려움을 겪을 수 있고 이로 인해 치료가 지연되거나
추가적인 골이식 수술이 필요한 경우가 많습니다.
이러한 한계를 보완하기 위해 최근에는 ‘4세대 임플란트’로 불리는
차세대 임플란트 시스템이 도입되고 있습니다.
4세대 임플란트는
기존의 치조골이 아닌 기저골을 기반으로
고정력을 확보하는 구조를 가지고 있어
얇거나 결손된 골에서도 식립이 가능한 것이 가장 큰 장점입니다.
기저골은 흡수되지 않는 단단한 뼈로 염증에 의해
위축된 치조골과 달리 안정적으로 고정력을 확보할 수 있습니다.
이로 인해 얇은 골폭, 낭종 후유증, 결손 부위 등
기존 임플란트로는 치료가 어려웠던 영역에서도
즉시 식립이 가능해졌고 추가적인 골이식이나
치료가 지연되는 등의 실패율을 줄일 수 있게 되었습니다.
또한 4세대 임플란트는
골 소실로 인해서 발생할 수 있는 합병증의 발생 가능성을 낮추는 디자인이 적용되어
재수술 부담도 크게 줄어드는 것이 특징입니다.
4세대 임플란트는 구조적으로는 나사 형태가 더 정교하게 설계되어 있으며
골과 융합하는 성질이 우수해 치료 기간을 단축시키고
식립된 임플란트 위에 올라가는 최종 보철물까지의 과정을
보다 심플하게 만드는 데 기여하고 있습니다.
이번에 저희 달라스치과에 내원하신 환자분은 40대 여성으로
위의 송곳니 볼쪽 부위에 심한 염증을 동반한 상태로 내원하셨습니다.

이미 육안으로 보기에도 송곳니 위쪽에 불룩하게 튀어나온 염증이 보였고
이미 고름이 가득차서 손을 대면 금방이라도 터질 것 같은 모습이었습니다.

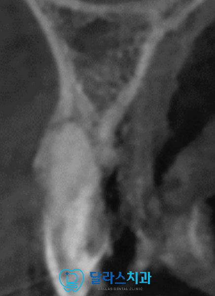
x-ray를 통해 정밀하게 진단을 진행한 결과
해당 부위에는 낭종이 관찰되어 정확한 상태를 알기 위해
입체적인 CT를 촬영해보았습니다.
이미 치아 주변으로는 치조골이 상당히 얇아져있어서
치아의 앞쪽으로 거의 붙어있었고 큰 낭종이 생겨있는 상태여서
이 부위를 모두 제거한다고 해도
일반적인 방법으로는 임플란트 식립이 어려운 상황이었습니다.

저희 달라스치과는 가장 먼저 문제를 일으킨 부분의 심한 염증 상태를 안정시킨 뒤
해당치아 발치와 낭종을 완벽하게 제거하였습니다.
제거한 부위는 움푹들어가서 거의 비어있는 상황있으나
기저골에 식립이 가능한 4세대 임플란트 아리(ARI IMPLANT)를 즉시 식립하였습니다.

결손된 부위에는 골이식술을 병행하여
치조골의 폭과 두께를 보완하는 방식으로 치료를 진행하였습니다.
기저골 기반의 고정력을 활용한 4세대 임플란트를 통해서
초기 안정성을 확보하였기 때문에
깊은 곳에 자리잡고 있는 단단한 기저골에 식립된 4세대 임플란트 덕분에
큰 지연 기간 없이 계획된 수술을 마무리할 수 있었습니다.

안정적인 치유를 거쳐 임플란트 주변부분의 손실이 최소화된 채로
잘 치유된 모습입니다.

최종 보철물까지 수복을 완료하였으며
환자분께서는 “수술도 생각보다 편했고, 일상생활에 큰 지장이 없었다”며
높은 만족감을 보이셨습니다.

특히 최종 보철물 완성 후에는 음식을 씹는 것이 훨씬 편해졌고,
웃을 때 보이는 모습도 매우 자연스럽다고 말씀해주셨습니다.

입체적인 CT를 촬영하여 최종확인해보면
기저골에 식립 4세대 임플란트는 큰 부작용 없이
주변 부분이 골로 둘러싸여서 안정적으로 자리한 것이 확인됩니다.

저희 달라스치과는 환자 개개인의 골 상태와 치료 조건을 정밀하게 분석하고
최신 임플란트 기술을 적극적으로 반영하여
최선의 치료 결과를 이끌어내며 골이 얇거나 손상된 경우에도
충분히 안전하고 예측 가능한 치료를 제공할 수 있도록 최선을 다하겠습니다.
감사합니다.
*모든 증례 사진은 의료법 제23조, 제 56조에 의거하여, 당사자의 동의하에 게시하였습니다.
*치료 사진은 모두 본원에서 치료한 환자분의 사진입니다.
*치료 사진은 모두 동일인의 사진이며, 동일조건에서 촬영하였습니다.
*개인의 차이에 따라 시술 및 수술 후 부작용이 발생할 수 있으며, 의료진과 충분한 상담을 받으시기 바랍니다.